Combination of PB2 271A and SR polymorphism at positions 590/591 is critical for viral replication and virulence of swine influenza virus in cultured cells and in vivo

Abstract

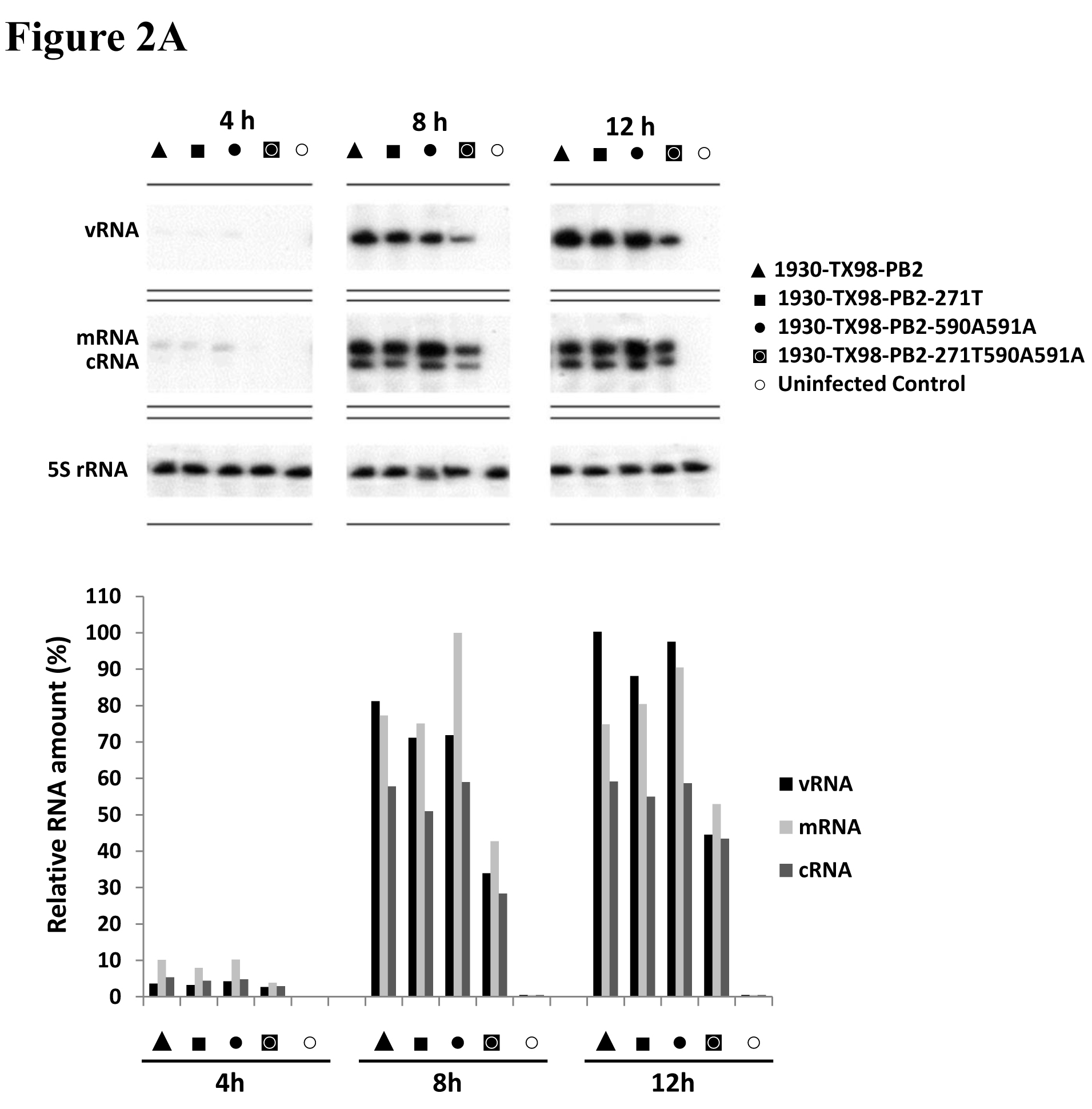
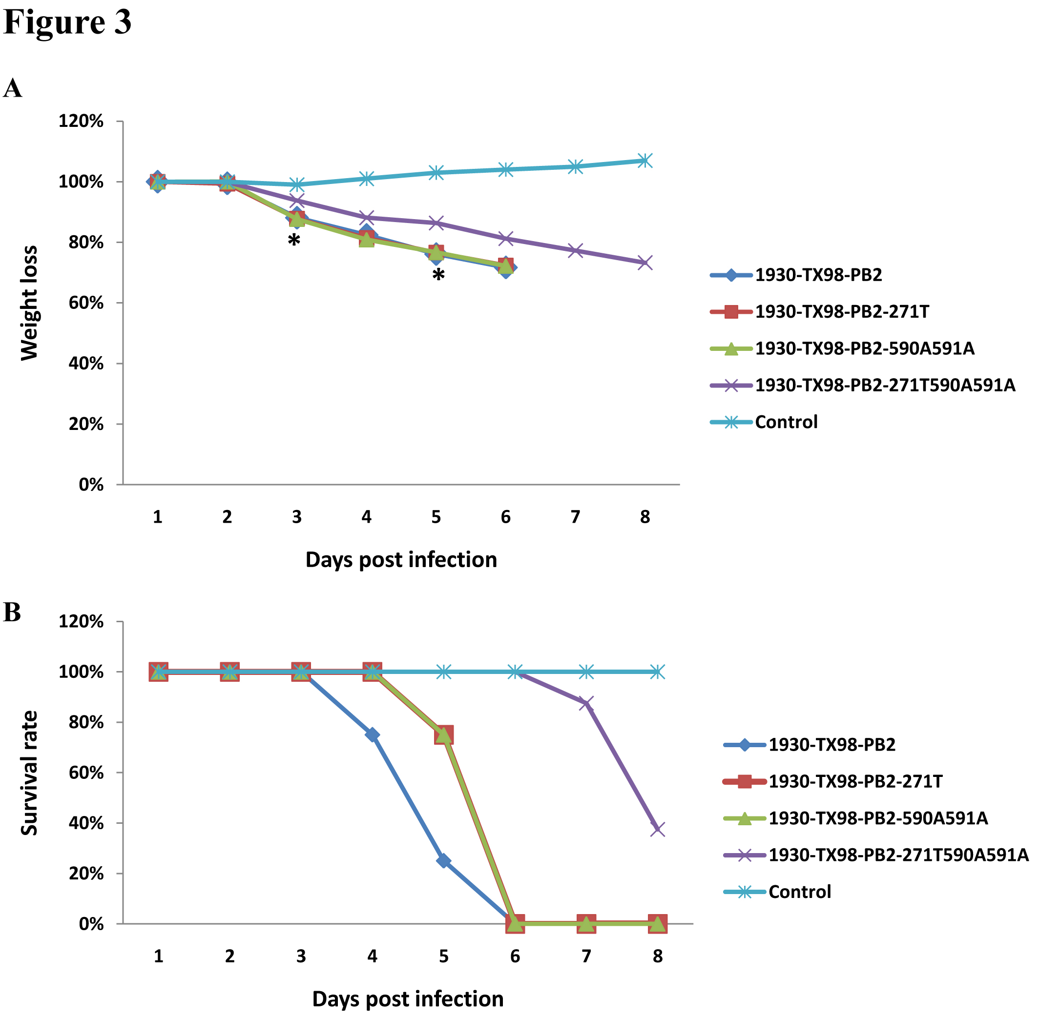
Triple reassortant swine influenza viruses (SIVs) and 2009 pandemic H1N1 (pH1N1) virus contain an avian-origin PB2 with 271A, 590S, 591R, and 627E. To evaluate the role of PB2 271A, 590S, and 591R in the replication and virulence of SIV, single (1930-TX98-PB2-271T)-, double (1930-TX98-PB2-590A591A)-, and triple (1930-TX98-PB2-271T590A591A)-mutated viruses were generated in the background of the H1N1 A/swine/Iowa/15/30 (1930) virus with an avian-origin PB2 from the triple-reassortant A/swine/Texas/4199-2/98 (TX98) virus, called the parental 1930-TX98-PB2. Compared to parental virus and single- and double-mutated viruses, the triple-mutated virus replicated less efficiently in cell cultures and was attenuated in mice. These results suggest that a combination of 271A with the 590/591 SR polymorphism is critical for pH1N1 and triple-reassortant SIVs for efficient replication and adaptation in mammals.

Description

Keywords

Swine influenza virus, PB2, 271A, 590/591 SR polymorphism, Replication and virulence, Cultured cells, In vivo

Citation